虫歯や歯周病にならないためには、普段からお口のケアがとても大切です。
当医院では定期健診を行い虫歯や歯周病が無いかチェックいたします。
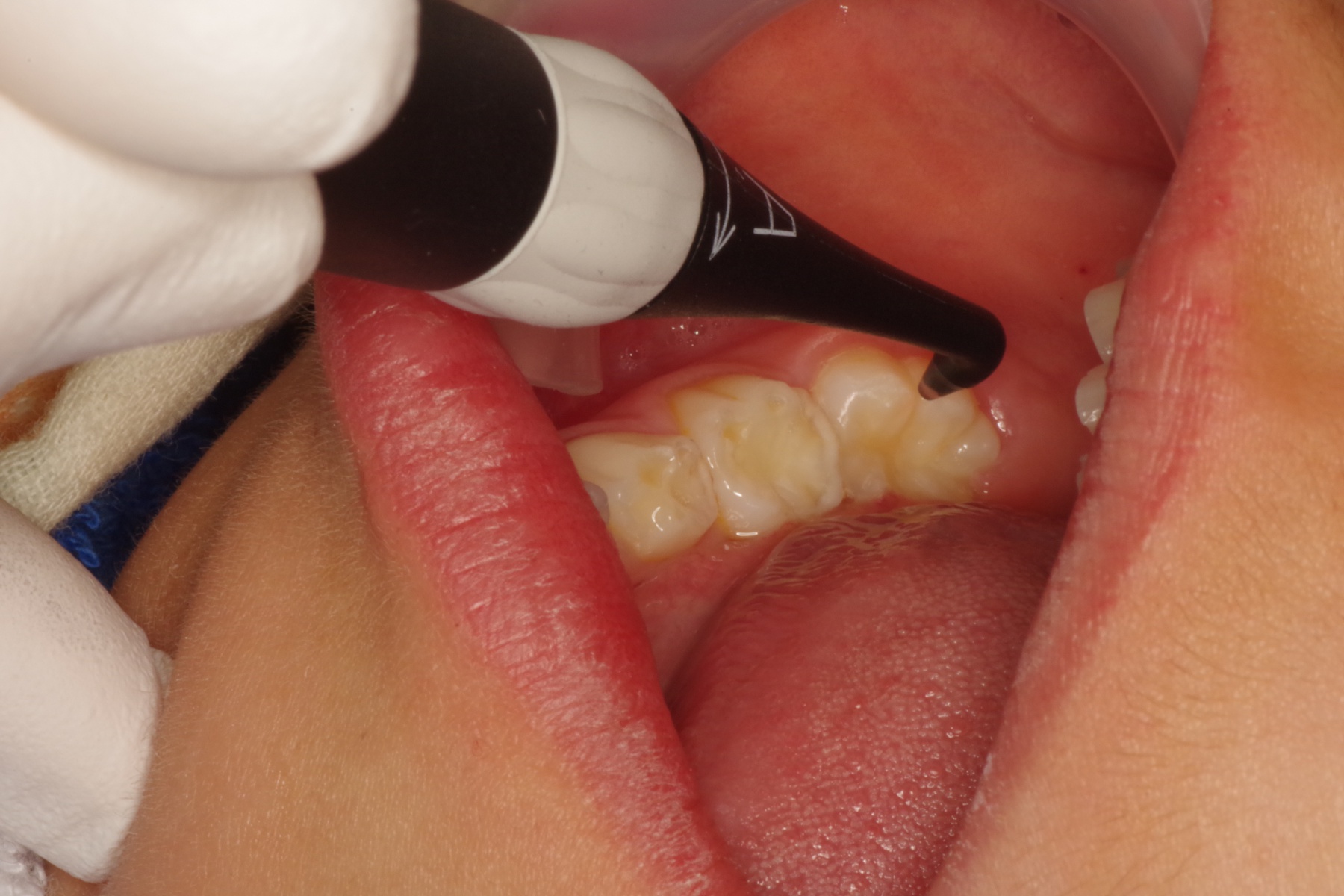
実際の視診に加え、必要に応じてレントゲン撮影や、写真のような機械を使い、虫歯の早期発見をいたします。



また普段行う歯ブラシの使い方もお一人お一人に合ったやり方をアドバイスすることが出来ます。
定期的に健診を行うことで虫歯や歯周病を防ぎ、早期発見することにより、治療も軽くなります。お気軽にご相談ください。
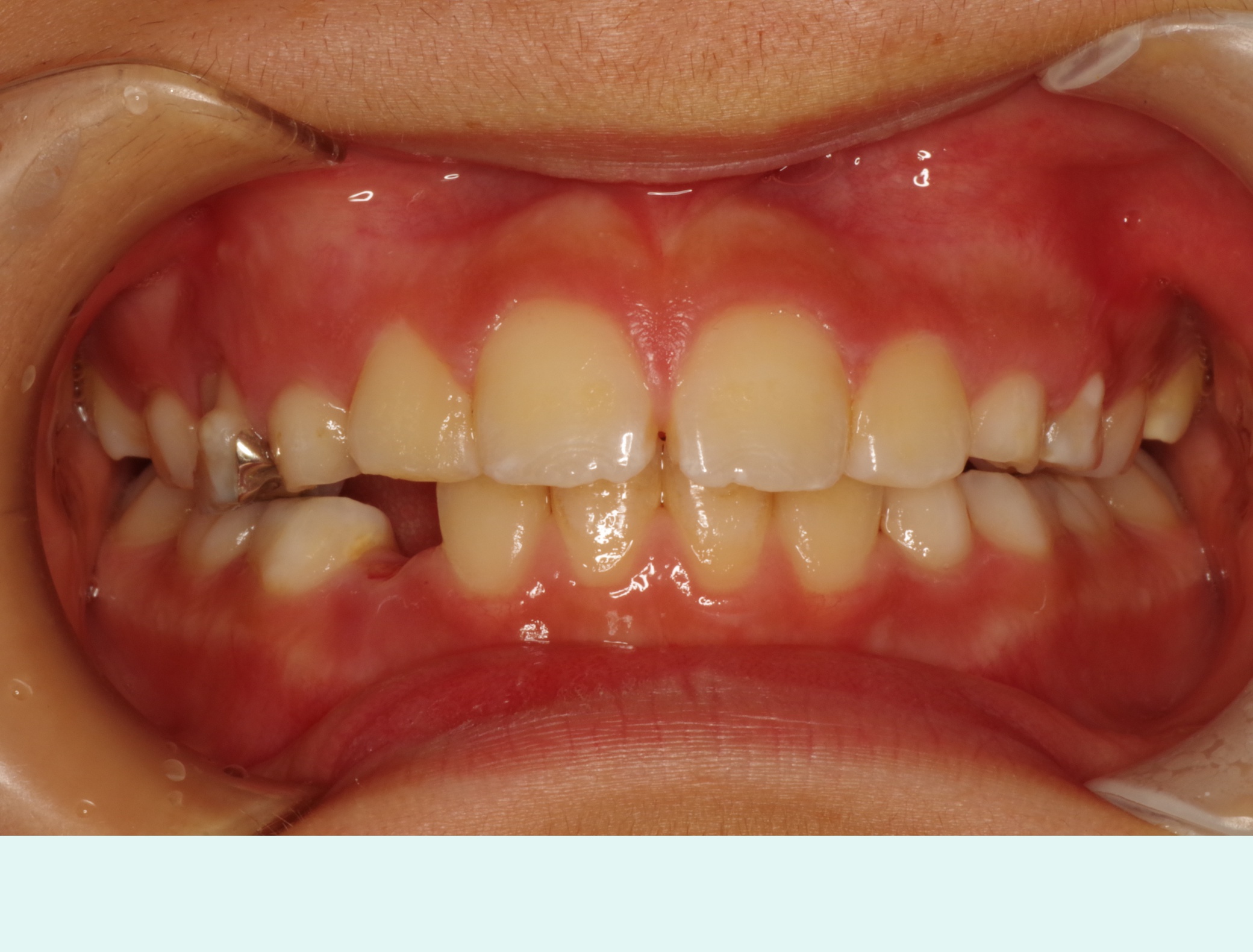
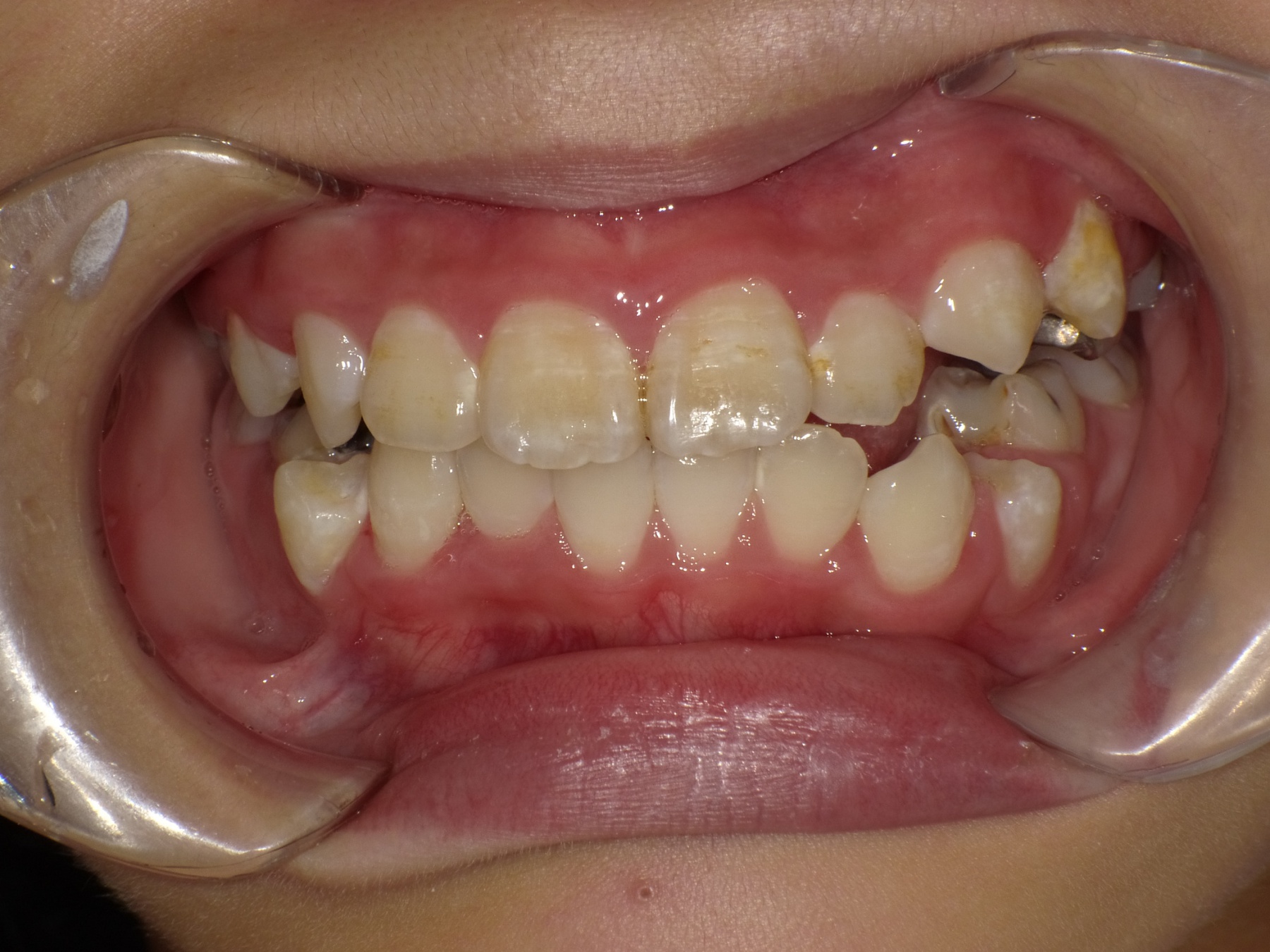
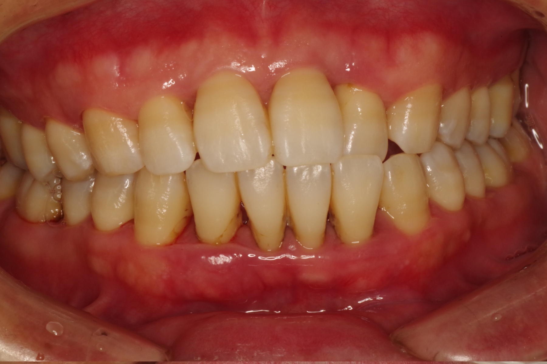
歯肉が赤く腫れる感じは・・。
歯周病が進むと顎の骨を溶かし、最悪の場合、歯が抜けてしまいます。

虫歯が家の壁が壊される事としたら、歯周病は家の土台が壊されるような病気です。
歯周病は虫歯より痛みが出るのが遅いため、早期発見が大切です。
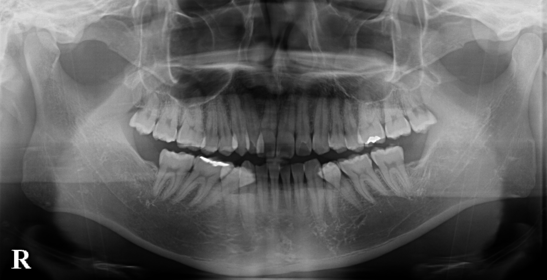
当医院では歯茎の検査やお口全体のレントゲン写真を用い、歯周病の有無を確認いたします。
歯周病の程度により治療内容や診察回数が異なりますのでまずはご相談下さい。
もっと大切は歯周病にならない様普段のお口のケアが大切です。
定期的な健診をお薦めします。
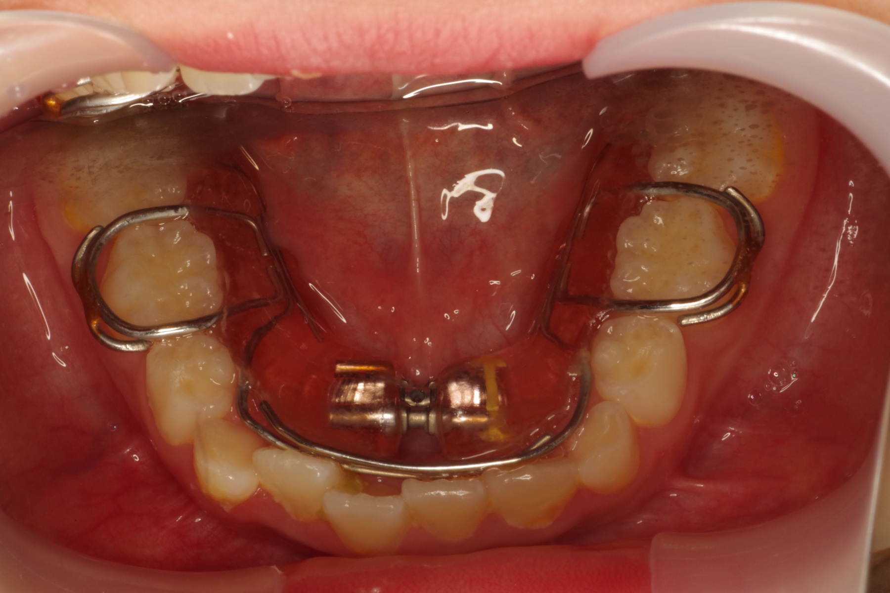
当医院ではお子様の矯正に顎の成長をサポートするような装置を使い、歯ならびを矯正します。
取り外し出来る装置のため、お子様の負担も少なく、気軽に使用できます。

当医院では歯並びだけでなく咬み合わせの確認も行っていきます。




適応年齢は小学生~中学生ですが、それ以前の年齢のお子様も定期健診で様子を診ていきますのでお気軽にご相談下さい。
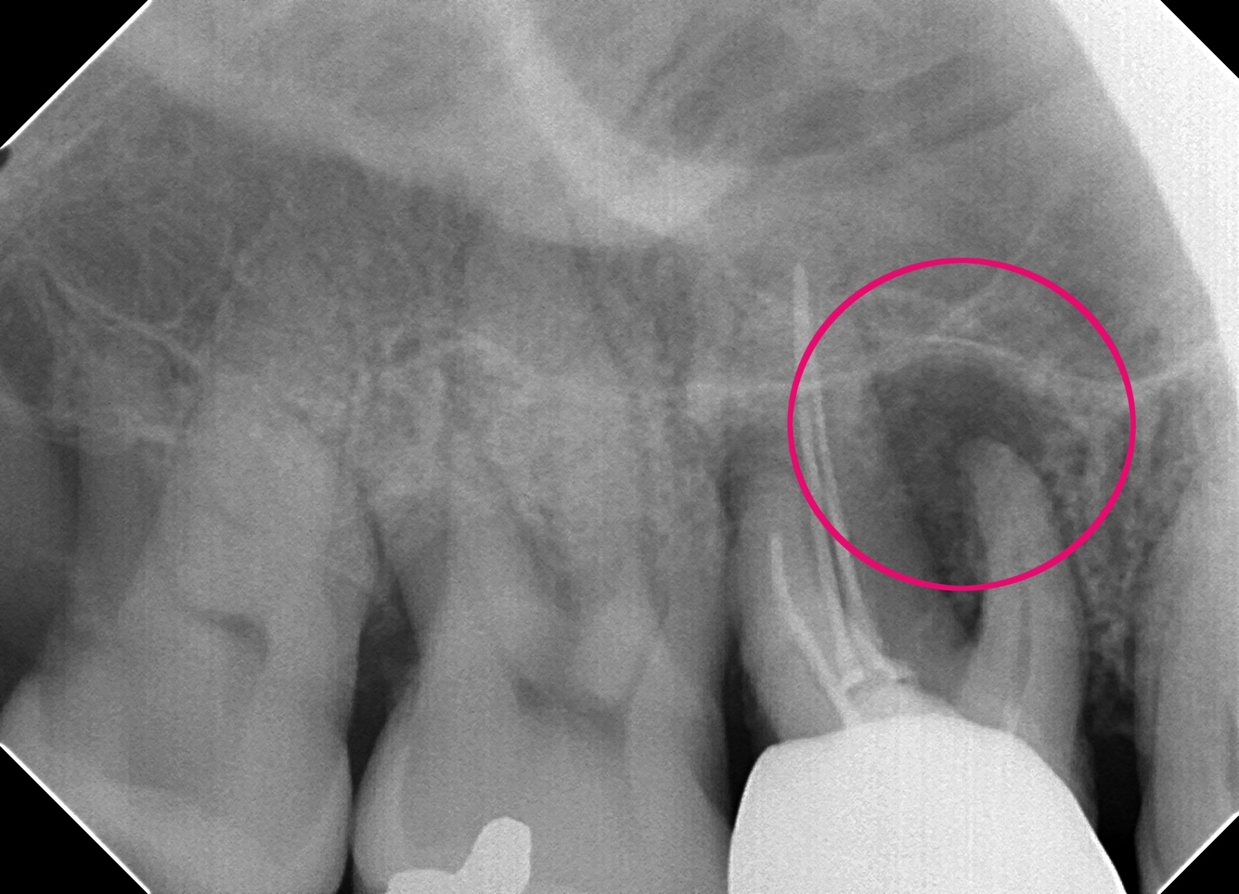
歯は生き物です。歯の根は歯茎に隠れ、見えませんが歯を支える土台の役割があり、歯の根の病気を取り除く事は歯を守るために非常に重要な治療です。
歯の根の先にうみが貯まり、レントゲンに黒く映っています。
根の先が菌に感染してうみが貯まると、うずいたり、痛みが出る可能性があります。

(他院で以前治療した歯の根の先が腫れた。)
うみを神経の通っていた管を通して出し管を消毒します。
管がきれいになったら根の先まで蓋をする薬をいれ、再び菌が入って感染するのを防ぎます。当医院では根の治療の回数や時間をかけますが、一本一本確実な治療を心がけています。
義歯が合わない。
義歯で咬めない。
義歯でお悩みの方…
義歯を入れる目的は、食事ができると同時に体のバランスを保つのに大きな役割があります。
咬みあうことにより体に力が均等に行きわたり、歩行しやすく、作業しやすくなります。
当医院では義歯製作に咬みあわせを丁寧に確認し、完成後もお口にあうまで丁寧に調整、メインテナンスを行っています。
一度ご相談ください。
歯の着色が気になる方、歯を白くしたい方
当医院ではホワイトニングを行っています。
また被せものの金属色が気になる方や金属アレルギーの心配がある方、
白い被せものを付けることもできます。(奥歯は自費治療になります)
お一人お一人確認して方針を決めますので、まずは気軽にご相談ください。